新闻资讯
- 公司总裁徐卫应邀接受凤…
2月28日上午公司总裁徐卫在公司接到凤凰卫… - 技术入股,专利归属谁?…
技术入股,专利归属谁?深圳“赛百诺”专利… - ASCO公布2013年度临床肿…
ASCO公布2013年度临床肿瘤学进展 “2013年…
患者案例
首页 - 患者案例 - 患者案例今又生治疗病例---胃肠肿瘤
病例1
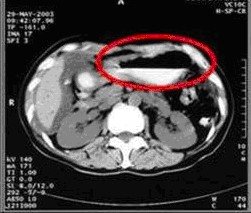
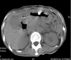
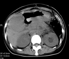
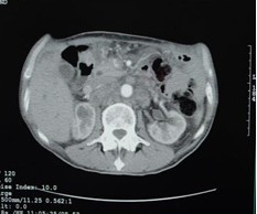
女,49岁。胃体癌晚期,胃窦增厚强化,与周围粘连,腹膜增厚,腹腔广泛转移,伴大量腹水。放/化疗失败,无法手术。治疗方案:腹腔灌注今又生2×1012VP/2次/周,共12周,同时灌注顺铂和5-氟尿嘧啶腹腔,后4周加8次全腹热疗。治疗后:第3周,腹水消失;第8周,胃窦、腹膜和网膜变薄,盆腔结节明显变小。后行手术切除残余胃肿瘤,术中探查全腹和盆腔未扪及肿瘤。术后病检胃肿瘤内未见癌细胞。
女,49岁。胃体癌晚期,胃窦增厚强化,与周围粘连,腹膜增厚,腹腔广泛转移,伴大量腹水。放/化疗失败,无法手术。治疗方案:腹腔灌注今又生2×1012VP/2次/周,共12周,同时灌注顺铂和5-氟尿嘧啶腹腔,后4周加8次全腹热疗。治疗后:第3周,腹水消失;第8周,胃窦、腹膜和网膜变薄,盆腔结节明显变小。后行手术切除残余胃肿瘤,术中探查全腹和盆腔未扪及肿瘤。术后病检胃肿瘤内未见癌细胞。

治疗前胃窦增厚强化,与周围粘紧,腹膜增厚,大量积水

治疗中:第8周,腹水消失,胃壁变薄,盆腔结节明显变小

治疗结束:第12周,胃壁回复正常

残胃

腹腔

盆腔
病例2
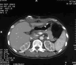
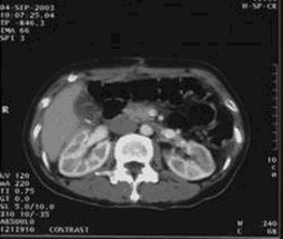
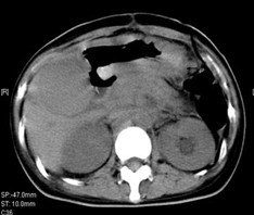
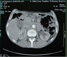
女,40岁,2006年10月底确诊为胃腺癌(皮革胃),腹腔淋巴结转移;2006年11月外科手术时见腹腔广泛转移(粘连),病灶无法切除(下图1a,b),预期生存期低于3个月;留置(胃)造瘘管。2006年12月开始今又生联合化疗治疗,今又生2×1012VP,室温下自行融化后加入到100ml生理盐水中,30~40分钟内静脉滴注完毕,1/次/周,连续使用6周。今又生给药三天后静脉化疗。2007年7月外科手术拔除造瘘管;2007年9月随访,患者状况良好,无复发。
女,40岁,2006年10月底确诊为胃腺癌(皮革胃),腹腔淋巴结转移;2006年11月外科手术时见腹腔广泛转移(粘连),病灶无法切除(下图1a,b),预期生存期低于3个月;留置(胃)造瘘管。2006年12月开始今又生联合化疗治疗,今又生2×1012VP,室温下自行融化后加入到100ml生理盐水中,30~40分钟内静脉滴注完毕,1/次/周,连续使用6周。今又生给药三天后静脉化疗。2007年7月外科手术拔除造瘘管;2007年9月随访,患者状况良好,无复发。

1a 治疗前胰腺体部和主动脉前方淋巴结较多较大,胃底和体部较厚僵硬

1b治疗后 淋巴结较少并缩小,胰腺和主动脉之间脂肪间隙恢复清晰,胃底和体部较前变薄,柔软

2a 治疗前 主动脉前方,胃底和脾门之间见大量结节状淋巴结

2b 治疗后 主动脉前方,胃底和脾门之间淋巴结大部分消失缩小,脂肪间隙较前清晰
病例3
男,60岁,晚期胃癌,腹腔转移,锁骨上淋巴结转移,肝,腹腔转移。初治(手术)。治疗前CEA 12.95 ng/ml,左锁骨上转移淋巴结2.0cm。今又生经静脉滴注,1×1012VP/支/次,3次/周,共30支,联合草酸铂+CF+5-FU化疗,2周期。治疗后:CEA下降到9.71 ng/ml,左锁骨上转移淋巴结缩小到0.5 cm。KPS评分增加20分,疗效评价为肿瘤部分消退(PR)。
男,60岁,晚期胃癌,腹腔转移,锁骨上淋巴结转移,肝,腹腔转移。初治(手术)。治疗前CEA 12.95 ng/ml,左锁骨上转移淋巴结2.0cm。今又生经静脉滴注,1×1012VP/支/次,3次/周,共30支,联合草酸铂+CF+5-FU化疗,2周期。治疗后:CEA下降到9.71 ng/ml,左锁骨上转移淋巴结缩小到0.5 cm。KPS评分增加20分,疗效评价为肿瘤部分消退(PR)。

治疗前

治疗后
【返回】












