新闻资讯
- 公司总裁徐卫应邀接受凤…
2月28日上午公司总裁徐卫在公司接到凤凰卫… - 技术入股,专利归属谁?…
技术入股,专利归属谁?深圳“赛百诺”专利… - ASCO公布2013年度临床肿…
ASCO公布2013年度临床肿瘤学进展 “2013年…
患者案例
首页 - 患者案例 - 患者案例今又生治疗病例---头颈部肿瘤
病例1
男,60岁,鼻咽癌Ⅲ 期,T2N2M0,治疗前肿瘤充满鼻咽腔和后鼻腔后缘,23.5cm2。治疗方案:今又生瘤内注射,1×1012VP/次/周,共6周,并联合放疗40Gy。治疗后:肿瘤完全消退。
男,60岁,鼻咽癌Ⅲ 期,T2N2M0,治疗前肿瘤充满鼻咽腔和后鼻腔后缘,23.5cm2。治疗方案:今又生瘤内注射,1×1012VP/次/周,共6周,并联合放疗40Gy。治疗后:肿瘤完全消退。

治疗前

治疗后
病例2
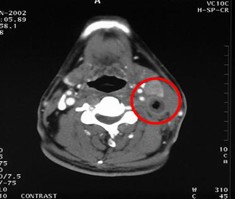
患者病情:鼻咽癌,左颈前、后两个淋巴结转移,大小近似,均为5.7cm2。治疗方案:前淋巴结接受放疗40Gy,后淋巴结注射今又生1×1012VP/次/周×4,联合40Gy放疗。治疗后,前、后淋巴结体积均缩小,前淋巴结缩小到2.9cm2,缩小40%;后淋巴结缩小到1 cm2,缩小72%,而且CT可见其内部空洞坏死,无癌细胞。
患者病情:鼻咽癌,左颈前、后两个淋巴结转移,大小近似,均为5.7cm2。治疗方案:前淋巴结接受放疗40Gy,后淋巴结注射今又生1×1012VP/次/周×4,联合40Gy放疗。治疗后,前、后淋巴结体积均缩小,前淋巴结缩小到2.9cm2,缩小40%;后淋巴结缩小到1 cm2,缩小72%,而且CT可见其内部空洞坏死,无癌细胞。

治疗前

治疗后
病例3
男, 67岁,下唇鳞状细胞癌,T4N2aM0。治疗方案:今又生联合化疗。今又生2×1012 VP /次,10 ml 生理盐水稀释后,20-30 分钟内动脉介入药盒给药,1次/5天,共完成10次。化疗方案为:奥沙利铂(200mg, 第1天)+博莱霉素(8mg,第2,6,8天)+甲氨喋呤(30mg, 第1,8天),完成2个疗程。治疗后2个月,肿瘤完全消退。
男, 67岁,下唇鳞状细胞癌,T4N2aM0。治疗方案:今又生联合化疗。今又生2×1012 VP /次,10 ml 生理盐水稀释后,20-30 分钟内动脉介入药盒给药,1次/5天,共完成10次。化疗方案为:奥沙利铂(200mg, 第1天)+博莱霉素(8mg,第2,6,8天)+甲氨喋呤(30mg, 第1,8天),完成2个疗程。治疗后2个月,肿瘤完全消退。

治疗前

治疗后
病例4
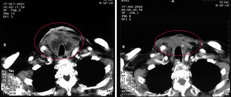
女性,69岁,甲状腺癌,术后9个月局部复发,放疗、化疗、热疗均失败,肿瘤压迫气管及颈前皮肤形成的癌痂造成呼吸困难。治疗前CT显示颈前肿瘤22.5cm2。治疗方案:今又生肿瘤内注射今又生1×1012VP/次/周×8;联合浅部热疗。结果:治疗后1月,颈前肿瘤缩小到11.7cm2,缩小了48%,压迫气管的癌痂脱落,呼吸困难的症状完全缓解。
女性,69岁,甲状腺癌,术后9个月局部复发,放疗、化疗、热疗均失败,肿瘤压迫气管及颈前皮肤形成的癌痂造成呼吸困难。治疗前CT显示颈前肿瘤22.5cm2。治疗方案:今又生肿瘤内注射今又生1×1012VP/次/周×8;联合浅部热疗。结果:治疗后1月,颈前肿瘤缩小到11.7cm2,缩小了48%,压迫气管的癌痂脱落,呼吸困难的症状完全缓解。

治疗前

治疗后
【返回】












