新闻资讯
- 公司总裁徐卫应邀接受凤…
2月28日上午公司总裁徐卫在公司接到凤凰卫… - 技术入股,专利归属谁?…
技术入股,专利归属谁?深圳“赛百诺”专利… - ASCO公布2013年度临床肿…
ASCO公布2013年度临床肿瘤学进展 “2013年…
患者案例
首页 - 患者案例 - 患者案例今又生治疗病例---食管癌
病例1
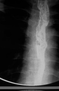
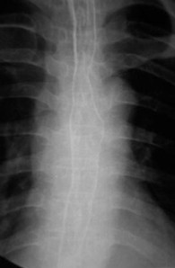
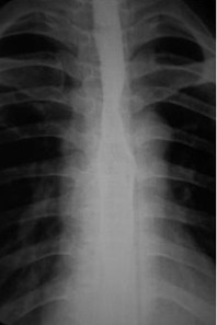
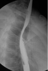
女,51岁,以“进行性吞咽困难1年”为主诉于2007年2月19日入院。钡餐造影、胃镜示食管上段占位性病变,确诊为食道鳞癌(图1),拒绝手术,行放疗+今又生治疗。食道镜下瘤内注射今又生,1×1012VP/次/周×6,放疗在今又生注射3 d后开始,采用常规分割三野等中心照射,剂量65cGY。治疗结束后4周,食管X线、胸部CT显示肿瘤完全消退(图4-5)。
女,51岁,以“进行性吞咽困难1年”为主诉于2007年2月19日入院。钡餐造影、胃镜示食管上段占位性病变,确诊为食道鳞癌(图1),拒绝手术,行放疗+今又生治疗。食道镜下瘤内注射今又生,1×1012VP/次/周×6,放疗在今又生注射3 d后开始,采用常规分割三野等中心照射,剂量65cGY。治疗结束后4周,食管X线、胸部CT显示肿瘤完全消退(图4-5)。

治疗前

治疗前

放疗40GY+今又生4支后

放疗65GY +今又生6支后

放疗结束4周后

放疗结束4周后
【返回】












