新闻资讯
- 公司总裁徐卫应邀接受凤…
2月28日上午公司总裁徐卫在公司接到凤凰卫… - 技术入股,专利归属谁?…
技术入股,专利归属谁?深圳“赛百诺”专利… - ASCO公布2013年度临床肿…
ASCO公布2013年度临床肿瘤学进展 “2013年…
患者案例
首页 - 患者案例 - 患者案例今又生治疗病例---肉瘤
病例1
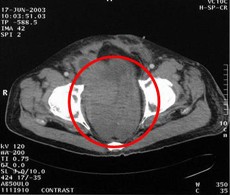
患者病情:左下腹壁脂肪肉瘤2次术后复发,疗前132.9cm2。治疗方案:瘤内注射今又生1-2×1012VP/次/周×14;热疗40MHz 42-43°C,1次/周×22,今又生注射后 3天进行;放疗60Gy结果:疗后肿瘤大小无改变,但50%以上低密度区(LDA),治疗后3周,8kg肿块切除,随访50个月健康生存。
患者病情:左下腹壁脂肪肉瘤2次术后复发,疗前132.9cm2。治疗方案:瘤内注射今又生1-2×1012VP/次/周×14;热疗40MHz 42-43°C,1次/周×22,今又生注射后 3天进行;放疗60Gy结果:疗后肿瘤大小无改变,但50%以上低密度区(LDA),治疗后3周,8kg肿块切除,随访50个月健康生存。

治疗前

治疗后
病例2
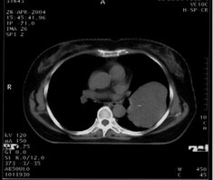
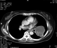
女,62岁。右大腿滑膜肉瘤,术后左下肺转移,9.5×7.5cm。CT引导下瘤内注射今又生,1×1012VP/次/周,共8次,结合60Gy放射照射。治疗后肿瘤缩小48%,CT示瘤内低密度区占50%以上,即肿瘤大部分坏死。
女,62岁。右大腿滑膜肉瘤,术后左下肺转移,9.5×7.5cm。CT引导下瘤内注射今又生,1×1012VP/次/周,共8次,结合60Gy放射照射。治疗后肿瘤缩小48%,CT示瘤内低密度区占50%以上,即肿瘤大部分坏死。

治疗前

治疗后
【返回】












