新闻资讯
- 公司总裁徐卫应邀接受凤…
2月28日上午公司总裁徐卫在公司接到凤凰卫… - 技术入股,专利归属谁?…
技术入股,专利归属谁?深圳“赛百诺”专利… - ASCO公布2013年度临床肿…
ASCO公布2013年度临床肿瘤学进展 “2013年…
患者案例
首页 - 患者案例 - 患者案例今又生治疗病例---肝癌
病例1
男,63岁,原发性肝癌晚期。AFP入院时为13000ng/L, 右肝区巨大肿瘤约为13×10=130 cm2。治疗方案:介入栓塞一个月后肝动脉插管皮下置泵灌注今又生和5-FU。治疗后:腹胀,腹痛消失,食欲增加,体重有所增加。AFP介入栓塞后为6000ng/L,灌注今又生和5-FU后为4ng/L,右肝肿瘤缩小至3×2cm。
男,63岁,原发性肝癌晚期。AFP入院时为13000ng/L, 右肝区巨大肿瘤约为13×10=130 cm2。治疗方案:介入栓塞一个月后肝动脉插管皮下置泵灌注今又生和5-FU。治疗后:腹胀,腹痛消失,食欲增加,体重有所增加。AFP介入栓塞后为6000ng/L,灌注今又生和5-FU后为4ng/L,右肝肿瘤缩小至3×2cm。

治疗前

治疗后
病例2
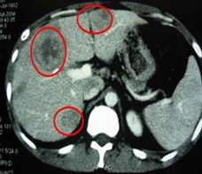
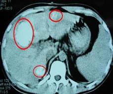
患者情况:肝细胞性肝癌,术后复发,右肝内多个病灶。治疗方案:瘤内注射今又生1×1012VP/次/周,共8周,同时联合肝动脉化疗栓塞(TACE),1次/月,共2次。下图示:左侧上下两图为治疗前,CT示血管丰富;右侧上下两图为治疗一个疗程后,碘油均匀沉积,肿瘤血供减少。
患者情况:肝细胞性肝癌,术后复发,右肝内多个病灶。治疗方案:瘤内注射今又生1×1012VP/次/周,共8周,同时联合肝动脉化疗栓塞(TACE),1次/月,共2次。下图示:左侧上下两图为治疗前,CT示血管丰富;右侧上下两图为治疗一个疗程后,碘油均匀沉积,肿瘤血供减少。

治疗前

治疗后

治疗前

治疗后
【返回】












