新闻资讯
- 公司总裁徐卫应邀接受凤…
2月28日上午公司总裁徐卫在公司接到凤凰卫… - 技术入股,专利归属谁?…
技术入股,专利归属谁?深圳“赛百诺”专利… - ASCO公布2013年度临床肿…
ASCO公布2013年度临床肿瘤学进展 “2013年…
患者案例
首页 - 患者案例 - 患者案例今又生治疗病例---胰腺癌
病例1
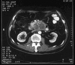
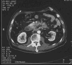
男,68岁,2006年12月14日,CT扫描发现胰头占位性病变,6.0×4.7cm2,腹膜后淋巴结转移,伴肝内多发转移灶。艾恒+希罗达化疗3疗程无效(图1)。2007年4月5日,开始接受今又生治疗,胰腺肿瘤内注射今又生1×1012VP,共2次,结合放疗45Gy/10f(图2)。2007年5月12日,IMA64+C,5.3×3.5=18.6cm2,缩小41.0%,瘤囊性化。腹腔灌注今又生5次,1-2×1012VP/次/周,+顺铂60mg,健择每周1.4g,治疗2周。疗后1年,肿瘤进一步缩小及坏死(图3)。
男,68岁,2006年12月14日,CT扫描发现胰头占位性病变,6.0×4.7cm2,腹膜后淋巴结转移,伴肝内多发转移灶。艾恒+希罗达化疗3疗程无效(图1)。2007年4月5日,开始接受今又生治疗,胰腺肿瘤内注射今又生1×1012VP,共2次,结合放疗45Gy/10f(图2)。2007年5月12日,IMA64+C,5.3×3.5=18.6cm2,缩小41.0%,瘤囊性化。腹腔灌注今又生5次,1-2×1012VP/次/周,+顺铂60mg,健择每周1.4g,治疗2周。疗后1年,肿瘤进一步缩小及坏死(图3)。

治疗前

治疗中

治疗后
【返回】












